Link_Error
Link_Error
Link_Error
BG_ERROR

Znieczulenie regionalne

Blokady centralne wykonywane do przeprowadzania cięć cesarskich powodują hipotensję, która może nieść poważne następstwa. Naszym celem było określenie, czy hipotensja może być przewidziana na podstawie: parametrów nowoczesnej pulsoksymetrii takich jak wskaźnik perfuzji i wskaźnik zmienności krzywej, częstości akcji serca, stosunku niskoczęstotliwościowych do wysokoczęstotliwościowych komponentów zmienności częstości akcji serca i entropii zmienności częstości akcji serca, mierzonych przed wykonaniem znieczulenia.

więcejWartość predykcyjna nieinwazyjnych parametrów hemodynamicznych w przewidywaniu hipotensji podczas cięcia cesarskiego: prospektywne badanie obserwacyjne. 


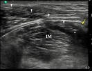
Wobec doświadczeń dotyczących anestezji przewodowej przez igłę, cewniki zakładane pod kontrolą ultrasonografii z dostępu podobojczykowego przedstawiane są jako zapewniające lepszą analgezję, niż te zakładane z dostępu nadobojczykowego. Technika podawania bolusa przez cewnik, która niewątpliwie „sprawdza” skuteczność cewnika przed rozpoczęciem ciągłej infuzji została zbadana dla cewników zakładanych z dostępu podobojczykowego, ale nie dla dostępu nadobojczykowego. Poniższe badanie ocenia technikę podawania bolusów przez cewnik zakładany z dostępu nadobojczykowego i weryfikuje hipotezę, iż cewnik zakładany z dostępu podobojczykowego zapewnia szybszy początek wystąpienia blokady splotu barkowego.

więcejPorównanie skuteczności cewników okołonerwowych zakładanych z dostępu pod i nadobojczykowego celem anestezji przewodowej w powtarzanych bolusach przez pozostawiony cewnik. 


Znieczulenie krzyżowe jest techniką opartą na wykorzystaniu punktów anatomicznych, przy której ultrasonografia stosowana jest okazyjnie przy nieobecności tych punktów. Użycie powierzchownych punktów anatomicznych jest wciąż popularną metodą z powodu swojej dużej skuteczności. Jednak niepełna ossyfikacja tylnych struktur kręgowych może utrudnić tę procedurę w przypadku znieczulenia krzyżowego u noworodka. Celem tego badania było opisanie anatomicznego powiązania kolca biodrowego tylnego dolnego (PSIS) z rożkami krzyżowymi u małych dzieci przy użyciu ultradźwięków

więcejCzy powinniśmy zrezygnować z techniki opartej na punktach anatomicznych w znieczuleniu krzyżowym noworodków i niemowląt? 


Pacjenci z przewlekłą obturacyjną chorobą płuc (POChP) charakteryzują się zwiększonym ryzykiem powikłań pooperacyjnych. W badaniu tym chcieliśmy oszacować korzyści z unikania znieczulenia ogólnego na rzecz anestezji regionalnej w tej grupie chorych.

więcejAnestezja regionalna a znieczulenie ogólne u chorych z przewlekłą obturacyjną chorobą płuc: czy unikanie znieczulenia ogólnego zmniejsza ryzyko powikłań pooperacyjnych? 


Znieczulenie regionalne jest „złotym standardem” do zabiegu cięcia cesarskiego. Jest ono jednak często przeciwskazane u pacjentek z towarzyszącym schorzeniem neurologicznym. Celem pracy była analiza zagadnień związanych z wyborem metody znieczulenia do cięcia cesarskiego u pacjentek ze schorzeniami takimi jak choroby kręgosłupa, padaczka, stwardnienie rozsiane itp.

więcejZnieczulenie do cięcia cesarskiego u pacjentek z choroba neurologiczną – 10 lat doświadczeń 


Złamanie biodra jest stanem cechującym się dużą śmiertelnością i chorobowością wśród chorych w podeszłym wieku. Zoptymalizowana płynoterapia śródoperacyjna może być korzystna w tej grupie chorych. Badano, czy śródoperacyjna płynoterapia monitorowana przy użyciu analizy konturu tętna w porównaniu ze standardowymi metodami u chorych znieczulanych podpajęczynówkowo, może przynieść korzyści w postaci skrócenia czasu do osiągnięcia stanu umożliwiającego wypis i zmniejszenia częstości występowania powikłań pooperacyjnych.

więcejPłynoterapia kontrolowana metodą LiDCO (Lithium Indicator Dilution Calibration) u chorych poddawanych alloplastyce stawu biodrowego w znieczuleniu podpajęczynówkowym. 


Wybór techniki znieczulenia u osób poddawanych wymianie stawu biodrowego jest nadal dyskusyjny. Założeniem tego badania było udowodnienie, że znieczulenie ogólne niesie za sobą więcej korzyści w bezpośrednim okresie po znieczuleniu niż blokada rdzeniowa.

więcejCałkowite znieczulenie dożylne versus znieczulenie podpajęczynówkowe do zabiegu wymiany stawu biodrowego, kontrolowane badanie z randomizacją. 


Podaż wazopresorów jest polecaną metodą zapobiegania hipotensji podczas znieczulenia podpajęczynówkowego (SA) do cięcia cesarskiego. Celem badania była ocena większej skuteczności i bezpieczeństwa podaży hydroksyetylowanej skrobii (HES) w porównaniu do mleczanu Ringera (RL) w połączeniu z profilaktyką polegającą na podaży fenylefryny.

więcej6% hydroksyetylowana skrobia w porównaniu do mleczanu Ringera przed znieczuleniem podpajęczynówkowym do cięcia cesarskiego: randomizowane, podwójnie zaślepione, wieloośrodkowe badanie CAESAR 


Blokada splotu ramiennego z dostępu pachowego najczęściej wykonywana jest przy pomocy ultrasonografii, ale alternatywne metody znajdują swoje zastosowanie, gdy brak jest dostępu do aparatury USG. Kwestionuje się obecnie konieczność trzech iniekcji przy blokadach z dostępu pachowego bez użycia ultrasonografii

więcejMRI blokady splotu ramiennego z dostępu pachowego: badanie randomizowane 


Copyright © 2011-2026 Via Medica. Wszystkie prawa zastrzeżone. VIA Medica, ul. Świętokrzyska 73, 80-180 Gdańsk, tel. 58 320 94 94,